What you will learn: Hyperspectral Microscopy produces high resolution visible near infrared (VNIR) optical spectral data in each submicron pixel of an image. This data-rich imaging technology is transforming digital pathology in areas ranging from cancer and Alzheimer's diagnosis to stem cell characterization. In this upcoming webinar, you will learn about the principles of hyperspectral microscopy and how different microscope modalities can be used to provide optimized results for different types of pathology related samples. Additionally, an overview of hyperspectral image analysis will be covered including machine learning techniques. Application examples will be presented to demonstrate the following:
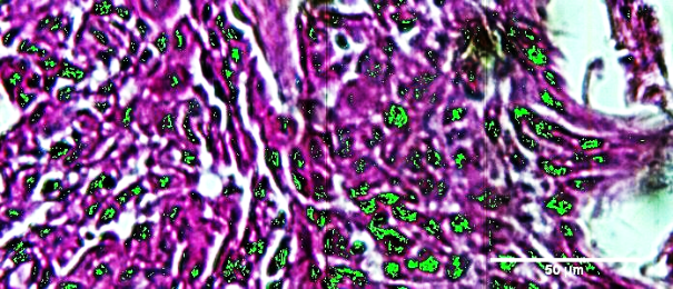
Spectral identification of cancerous tissue based on its stain free endogenous optical properties
Spectral identification of pre-amyloidal proteins (associated with Alzheimer's) in label-free tissue.
Advancing Digital Pathology With Hyperspectral Microscopy
Online Webinar - Presentation
Thursday 28 April 2022 - 16:00
When: 28 apr 2022 04:00 PM CEST - Rome
What you will learn:
Hyperspectral Microscopy produces high resolution visible near infrared (VNIR) optical spectral data in each submicron pixel of an image. This data-rich imaging technology is transforming digital pathology in areas ranging from cancer and Alzheimer's diagnosis to stem cell characterization.
In this upcoming webinar, you will learn about the principles of hyperspectral microscopy and how different microscope modalities can be used to provide optimized results for different types of pathology related samples. Additionally, an overview of hyperspectral image analysis will be covered including machine learning techniques.
Application examples will be presented to demonstrate the following:
Image Gallery
Related products
HSI - Hyperspectral Microscope
Partner
Cytoviva
Related categories
Hyperspectral Microscopes